HER2/ErB2 is one of the four members of the ErbB receptor family of transmembrane receptor-like tyrosine kinase. The kinase activity of ErbB2 can be activated without a ligand if it is overexpressed, and by association with other ErbB proteins. Overexpression of ErbB2 is detected in almost 40% of human breast cancers.
Estrogen Receptor alpha (ER alpha) is a nuclear protein and member of the steroid hormone receptor family. ER alpha possesses both DNA binding and ligand binding domains, and exerts a significant role in activating the transcription of certain genes. Ligand-dependent dimerization and phosphorylation both function to regulate the transcriptional activation of ER alpha.
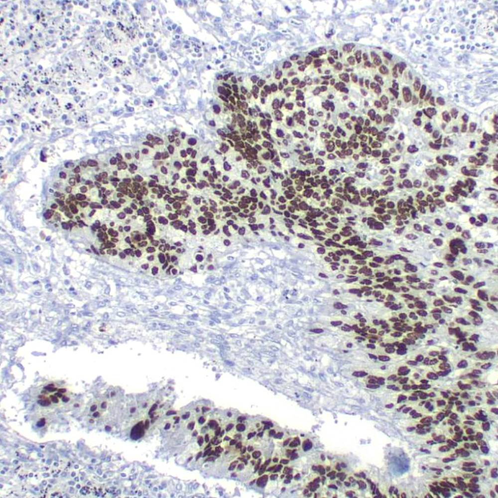
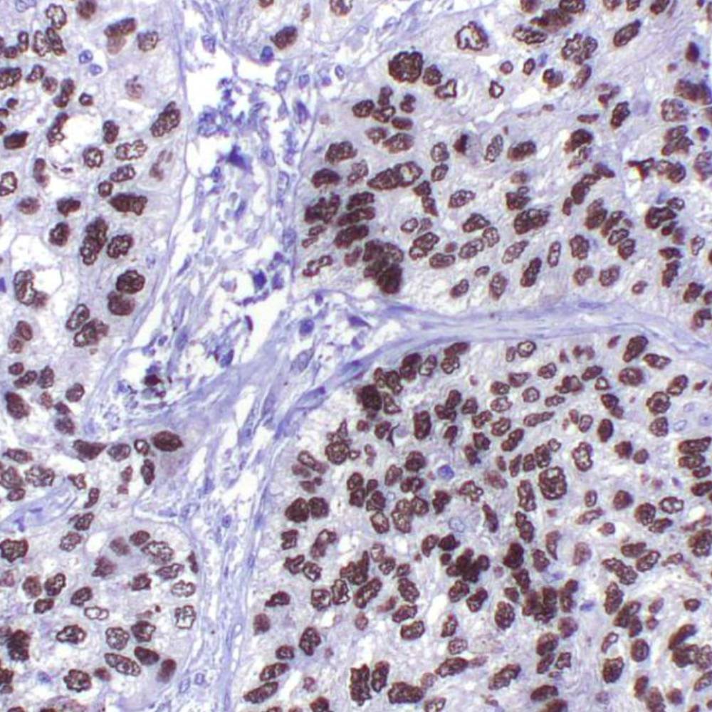
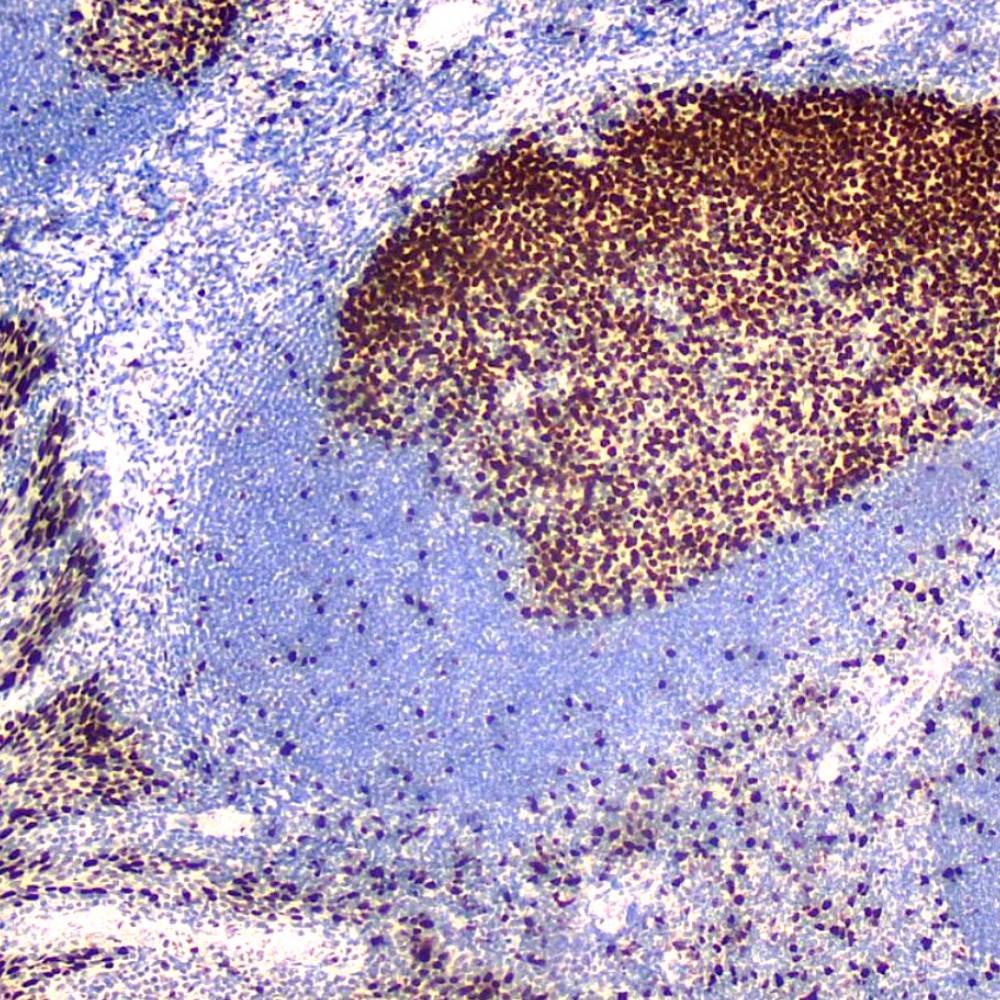
p40 antibody (antibody recognizing ΔNp63 only) is an isoform of p63, is thought to function as a stem cell factor, responsible for maintaining cells in an uncommitted state with regenerative potential—a role that may be recapitulated in tumors derived from these cells. p40 is normally expressed in the basal or progenitor cell layer of stratified epithelia (eg. squamous, urothelial, bronchial), basal cells of some glandular epithelia (eg. prostate), as well as myoepithelial cells of breast and salivary glands, trophoblasts and thymic epithelial cells. In tumor tissues, p40 expression is specific for squamous cell carcinoma. p40 is equivalent to p63 in sensitivity for lung squamous cell carcinoma, but it is markedly superior to p63 in specificity, which eliminates a potential pitfall of misinterpreting a p63-positive adenocarcinoma or unsuspected lymphoma as squamous cell carcinoma. p40 appears to be a more reliable marker for squamous cell carcinoma.
The rabbit monoclonal antibody p40 recognizes an epitope unique to the p40 protein and may have applications in cases where p63 has traditionally been used. p63 recognizes both the p63 and p40 proteins. As a result, p63 suffers from specificity limitations due to reactivity in a subset of lung adenocarcinomas (ADC). In contrast, p40 is selectively expressed in lung Squamous cell carcinoma (SqCC), offering an opportunity for improved specificity. p40 antibody recognizes an epitope unique to p40, which may result in diminished reactivity in lung ADC and increased specificity. Studies have supported routine use of p40 as an alternative for p63.
The human progesterone receptor (PR), is a ligand-activated transcription factor and is a member of the steroid receptor family. PR exists in humans as two isoforms; PR-A (94 kDa) which lacks the first 164 amino acids of PR-B and PR-B (114 kDa). While the two forms of PR have similar DNA- and ligand-binding affinities they have opposite transcriptional activities. PR-B functions as an activator of progesterone-responsive genes, while PR-A functions as a strong transdominant repressor of PR-B. This anti-PR recognize both PR-A and B. It labels epithelial cells of breast, ovary and endometrium.
The Ki-67 protein is a nuclear protein doublet, 345-395 kDa, playing a pivotal role in maintaining cell proliferation. In diagnostic histopathology and cell biology, the antibody has proven valuable for the demonstration of the Ki-67 antigen in normal and neoplastic cells, for example in soft-tissue sarcoma, prostatic adenocarcinoma, and breast carcinoma. The Ki-67 has been confirmed as a very powerful single prognostic factor for overall survival, with highly proliferative cases showing a much poorer outcome than tumors with low proliferation. In breast cancer, the proliferative index measured by Ki-67 immunoreactivity has both prognostic and predictive value.